Ei todisteita vieraasta elämästä – kuuluisa marsmeteoriitti tutkittiin
ALH 84001 -nimisestä marsmeteoriitista löytyi aikoinaan fossiileja muistuttavia rakenteita. Tuore tutkimus kiistää tämän tulkinnan ja osoittaa rakenteiden syntyneen geologisissa prosesseissa.
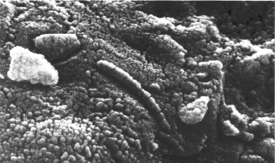
Vuonna 1996 David McKayn tutkimusryhmä kertoi havainneensa ALH 84001 -nimisestä marsmeteoriitista fossiileja muistuttavia rakenteita.
Löytö johti pitkään väittelyyn Marsin mahdollisesta muinaisesta elämästä. Monet muut tutkijat uskoivat, että samat rakenteet pystytään selittämään myös muilla tavoin.
Ensimmäisessä, 1990-luvun lopun debatissa McKayn ryhmä jäi selvästi altavastaajaksi. Vuonna 2010 väittely Marsin elämästä heräsi uudestaan eloon, kun kahdesta muusta marsmeteoriitista löytyi samankaltaisia rakenteita.
Tuolloin esitellyt todisteet vahvistivat mikrobiteorian asemia merkittävästi. Kysymys jäi kuitenkin avoimeksi, sillä edes McKay ei uskonut, että todisteet Marsin elämän puolesta olisivat olleet riittävän perusteellisia.
Nyt Carnegie-instituutin tutkijat sanovat voivansa laittaa lopullisen pisteen pitkään jatkuneelle väittelylle. Marsmeteoriitin orgaaniset materiaalit eivät ole seurausta biologiasta, vaan muodostuivat veden ja kiven vuorovaikutuksesta.
Tutkijoiden mukaan Marsista tulleiden meteoriittien orgaanisilla aineilla kuitenkin on eräs yhteys elämään.
"Tämän kaltaiset ei-biologiset, geologiset reaktiot ovat vastuussa orgaanisten hiiliyhdisteiden joukosta, josta elämä on voinut kehittyä. Ne ovat myös taustasignaali, joka meidän pitää ottaa huomioon, kun etsimme todisteita Marsin menneestä elämästä", kertoo Andrew Steele Carnegie-instituutista.
Aiheesta lisää Nasa (englanniksi)
Liity jäseneksi, saat Tähdet ja avaruus -lehden jäsenetuna
Liity jäseneksi
